

Resulta de la acumulación de sangre en algún espacio dentro o al rededor del cerebro.
Acumulación de sangre entre el cerebro y la membrana que lo cubre llamado duramadre. Puede ser agudo (reciente) o crónico (de tiempo atrás). La causa más común es debido a un golpe fuerte en la cabeza (caídas, accidentes) o puede deberse a situaciones especiales como es el uso de medicamentos que adelgazan la sangre (anticoagulantes o antiagregantes plaquetarios).
Acumulación de sangre entre el cráneo y la duramadre (membrana que cubre el cerebro). Esta es una entidad considerada una URGENCIA NEUROLOGICA que debe ser prontamente valorada por un NEUROCIRUJANO para su pronta atención.
Acumulación de sangre dentro del parénquima cerebral que puede ser originado por varias causas, dentro de las frecuentes es por una elevación brusca en la presión arterial que resulta en la ruptura de algún vaso sanguíneo cerebral.
Clásicamente se describe como una alteración en la producción, circulación o drenaje del líquido cefalorraquídeo. Existen múltiples causas que pueden originar este fenómeno y deben ser ágilmente identificados para su oportuno tratamiento ya que puede poner el riesgo la salud y la vida.
El tratamiento es inminentemente quirúrgico, a través de la colocación de un sistéma de derivación o utilizando técnicas endoscópicas.
Los tumores dentro del cerebro se dividen de acuerdo a la célula cerebral que lo originó. Adicionalmente utilizamos tecnología de punta como el sistema de neuronavegación (GPS del cerebro).
Los astrocitomas son tumores cerebrales que se originan de las células gliales y se dividen en 4 grados de acuerdo a la Organización Mundial de la Salud.
Los 2 primero grados corresponden a los astrocitomas de bajo grado, mientras que el 3er (Astrocitoma anaplásico) y 4to (Glioblastoma multiforme) grado corresponden a astrocitomas de alto grado.
El tratamiento siempre incluirá cirugía con el propósito de obtener muestra de tejido para ser enviada al experto en patología para que establezca el diagnóstico. Una vez obtenido el resultado definitivo con el grado de malignidad se canalizará si lo requiere a tratamiento complementario con quimioterapia (Temozolamida) y radioterpia.
Los meningiomas son tumores habitualmente de origen benigno que crecen a partir de células de las meninges (membrana que cubre al cerebro) que son de lento crecimiento. La complejidad de los meningiomas radica en su localización.

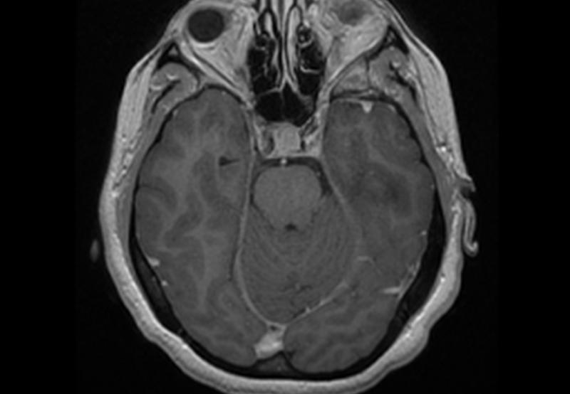
La fosa contiene elementos neuronales complejos y vías que regulan el despertar, funciones vitales autonómicas, equilibrio y la percepción sensorial de casi todo el cuerpo.
Existen diversas estructuras neuronales de las que pueden surgir lesiones, habitualmente benignas, sin embargo, localizadas en un área compleja como los neurinomas del nervio acústico. Otros elementos de la fosa posterior puede dar origen a otro tipo de lesiones como los meningiomas.
Es indispensable que estas lesiones deben ser tratadas en un centro hospitalario que cuente con la experiencia del cirujano y los recursos tecnológicos como la monitorización neurofisiológica para llevar a cabo esta cirugía.
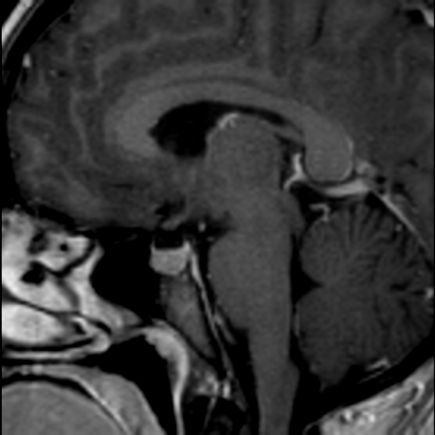
Es una glándula localizada dentro del cráneo sentada sobre una una estructura de hueso llamda "silla turca". Tiene una función muy importante en la regulación de las hormonas que rigen nuestras vidas.
Debido a su cercanía con los nervios ópticos, los síntomas de la visión habitualmente son los primeros en ocurrir junto con desequilibrio de las hormonas.
Estos tumores deben ser valorados por un equipo multidiscipliarios que incluyen a un oftalmólogo y endocrinólogo.


Copyright 2012 My Business. All rights reserved.